Varför är fettet på magen farligt?

Även om du är smal kan du ändå gå runt med skadligt magfett. Läs om både det farliga och det harmlösa magfettet, vad det är som får de olika typerna av fett att sätta sig på magen och hur du blir av med fettet.

Glada kvinnor i underkläder

Det spelar faktiskt roll var på kroppen ditt fett sitter.

© iStock

Fettets placering avgör

Fettet mellan inälvorna är en tickande bomb för din hälsa. Därför har läkare och experter på sistone börjat att fokusera mer på fettets placering på kroppen än mängden av fett. Begreppet smalfet har dykt upp i hälsodebatten och de allra flesta vet nu mycket väl att bara för att man är smal så betyder det inte nödvändigtvis att man också är sund.

Smalfet är en beskrivning av människor som ser slanka ut, men som har fett inne i bukhålan och runt de inre organen. När fett samlas här beror det på en ohälsosam och inaktiv livsstil. Denna fettvävnad är extremt farlig för din hälsa. Fettet utsöndrar nämligen massor av skadliga signal­ämnen, cytokiner, som via bukhålans stora blodådror flödar ut och runt i hela organismen. Här leder de till en förhöjd risk för insulinresistens, vilket är förstadiet till både diabetes och en lång rad andra hälsoproblem. Just därför är det viktigt att du upptäcker fettet i din bukhåla (om du har något) – och sedan ser till att också göra något åt det.

Läs också: Vad är en normal fettprocent för kvinnor och män?

Om du verkligen bär runt på det livsfarliga fettet kan bara en skanning visa. Det finns dock en rad kännetecken som kan vara en indikation på fett i bukhålan. Titta på listan och kör sedan direkt igång med I FORMs Hejdå bukfett-metod om du har det farliga bukfettet.

Så blir du av med farligt magfett

Kolla om ditt bukfett sitter precis under huden

Så här konstaterar du det:

Se dig i spegeln! Har du en synlig valk finns det ingen omedelbar anledning till oro, under förutsättning att valken inte sitter på en mage som sticker rakt ut. Om magen är olika spänd från dag till dag är det en indikation på att det inte är fett, utan tarmen som är problemet. Det kan bero på att tarmen irriteras av livsmedel som du inte tål.

Kännetecken på magfett under huden

  • Ditt midjemått är över 80 cm.
  • Du kan lätt greppa tag i en valk på magen och få en rejäl handfull.
  • Din mage ”flyter ut” och blir mycket plattare när du lägger dig ner jämfört med när du står upp.

Läs också: Så här mäter du ditt midjemått

Hälsa:

Denna typ av bukfett är inte så farlig. Det sker en mindre utsöndring av skadliga cytokiner i blodomloppet och fettet sätter sig inte direkt runt de inre organen och hämmar deras funktion. Allt fett på magen bedöms dock vara mindre hälsosamt än fett på låren och baken, så du gör ändå dig själv och din hälsa en tjänst om du gör dig av med det.

Därför får du det:

Kort sagt så beror det på att du äter fler kalorier än du förbränner! Och det kan man ju göra även om maten är nyttig.

Så här förebygger du det:

Ät inte mer än du gör av med. Se särskilt upp för kaloribomber med lågt mättnadsvärde, som godis och läsk, socker, vitt bröd, pasta och ris. Var aktiv, motionera flera gånger i veckan. Undvik stress och rökning. Se till att sova ordentligt.

För mycket bukfett precis under huden

FÖR MYCKET BUKFETT PRECIS UNDER HUDEN Magen i tvärsnitt. Personen här har en del bukfett (det vita ) precis under huden, men inte mycket fett mellan inälvorna.

Kolla om ditt bukfett sitter mellan inälvorna

Så här konstaterar du det:

Det behövs en MR-­skanning för att konstatera om du har fett mellan organen. Om du är i riskzonen kan du tala med din läkare om en remiss eller själv betala för en skanning på ett privatsjukhus. På ett privatsjukhus kostar en MR-skanning i runda slängar 5 000 kronor.

Kännetecken på magfett mellan inälvorna

  • Din mage behåller i stort sett formen oavsett om du står upp eller ligger ner.
  • Ditt midjemått på det bredaste stället över höften är över 88 cm

Läs också: Midja-höft-förhållande: Testa din fettfördelning

Hälsa:

Undersökningar visar att fett mellan inälvorna är en gemensam länk mellan de sjuk­domar som är kopplade till fetma. Det gäller både diabetes, hjärt- och kärlsjukdomar, högt blodtryck, vissa cancerformer, reumatism, fertilitetsproblem och mycket annat.

Därför får du det:

Du har en ohälsosam livs­stil med ingen eller för lite motion. Sannolikt äter du också för mycket kolhydrater via godis eller stärkelserika livsmedel som bröd, ris, pasta och potatis. Alkohol kan också orsaka fett­an­sam­ling i bukhålan, liksom stress och sömnbrist ökar risken.

Så här förebygger du det:

Råden är de­samma oavsett vilken typ av bukfett du har – rör på dig varje dag och motionera ordentligt minst tre gånger i veckan. Se också till att leva hälsosamt med sund kost och god nattsömn, sluta röka och undvik stress.

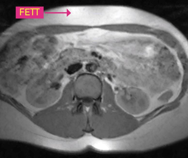
För mycket bukfett mellan inälvorna

FÖR MYCKET BUKFETT MELLAN INÄLVORNA Magen i tvärsnitt. Personen här har både mycket bukfett (det vita) precis under huden och mellan inälvorna.

Bli av med farligt magfett

Oavsett om ditt bukfett sitter mellan inälvorna eller precis under huden så är det bra att göra sig av med det. Följ ”Hejdå bukfett-metoden” och bli av med ½–1 kilo fett i veckan.

LÄS OCKSA: BMI-räknare: Räkna ut och förstå ditt BMI

1. Minska på kalorierna

Först och främst ska du äta mindre än du förbränner. Sträva efter att få i dig cirka 1 500 kalorier per dag. Om du tränar har du råd med fler kalorier, ungefär 50 procent av de förbrända kalorierna (om du förbränner 800 kalorier får du äta 400 kalorier extra).

Så här ser en idealisk fördelning ut över dagen:

  • Frukost 20–25 %
  • Förmiddag 10 %
  • Lunch 20–25 %
  • Eftermiddag 15–20 %
  • Kväll 25–30 %

Om du vet att du hinner bli hungrig innan läggdags så ät lite mindre till middag och spara lite kalorier som snacks på kvällen.

Det är lätt att falla för sötsuget. Därför är I FORMs hemsida full med recept på nyttiga snacks

2. Motionera

Förutom att du förbränner en massa kalorier när du rör på dig, är en viktig poäng med att motionera att du ”väcker” musklerna, så att de i högre grad tar upp fett och kolhydrater från blodet. Det hjälper dig att få bukt med valkarna och förebygger samtidigt att det samlas fett i bukhålan. Både cirkelträning och styrketräning bidrar till en hälsosammare kroppskemi. Därför är det optimalt om du väljer motion som inbegriper kroppens stora muskelgrupper och både innehåller uthållighetsträning och explosiva kraftövningar. Kör till exempel en rejäl tur med din mountainbike och krydda den med lite tuff intervallträning. Eller gå på cirkelträning där du får arbeta igenom hela kroppen rejält. Utöver vanlig träning tre–fyra gånger i veckan är det viktigt att du rör på dig varje dag. Det kan till exempel vara att gå en promenad de dagar du inte tränar.

Här kan du hitta det träningsprogram som passar dig bäst

3. Ät blodsockervänligt

Ät en måltid var tredje timme och låt den innehålla 15–25 gram kolhydrater. Över hela dagen ska du inte äta mer än 100 gram kolhydrater, om du inte också tränar.

Ät alltid en måltid som innehåller protein, fett och kolhydrater. Du ska ha minst 15 gram proteiner per måltid. Välj konsekvent grova grönsaker som vitkål, broccoli och blomkål.

Fokusera på proteiner. Inget annat närings­ämne klår proteiner när det handlar om att trimma magen och göra den platt. För en lång­varig mättnadskänsla ska du äta proteiner i alla måltider. Protein smälts i magsäcken - till skillnad från andra näringsämnen. Den processen tar tid och därför ligger en proteinrik måltid kvar i magen längre. Det är perfekt efter­som proteinerna försenar upptagningen av matens kolhydrater från magsäcken så att de inte dundrar rakt ner i tarmen och får blodsockret att skjuta i höjden. Långsam upptagning av kolhydrater är lika med mindre blodsockerstress och därmed mindre fett på magen.

Saknar du inspiration till lätta och sunda middagsrecept? Få dem här

4. Stressa mindre

Få kontroll på stressen – det är avgörande för att du ska bli av med bukfettet. Vänd blicken inåt och gå igenom din vardag. Om du regelbundet stressar för mycket så tänk efter om du kan minska problemet. En bra metod är att öva på mindfulness. En stunds meditation på 20 minuter varje morgon gör underverk för stressnivån.

Kom också ihåg att en rask promenad eller träning med ett leende är bra för att stressa av.

Är du stressad? Här är 4 tips för en mindre stressad vardag

5. Sov gott

Din nattsömn har en avgörande effekt på din övervikt. Prioritera tiden i sängen så att du får minst sju timmars sömn. Viktigare än längden är dock att du vaknar pigg och utvilad av dig själv innan väckarklockan ringer. Du kan påverka din sömnkvalitet genom att undvika uppiggande stimulanser på kvällen, dämpa ljuset de sista timmarna före läggdags och undvika e-post och sms sent på kvällen.

En bra kudde, plats i sängen, rejäl mörkläggning och frisk luft i rummet bidrar också till en bättre sömnkvalitet.

Har du koll på sömnen? Testa här hur många sömnmisstag du gör

6. Se upp med alkoholen

Alkohol ökar risken för bukfett och bromsar dessutom kroppens fettförbränning. Därför är det avgörande att du drar ner på mängden alkohol till ett minimum eller helt slutar dricka. Du bör på inga villkor dricka mer än motsvarande två öl, två glas vin eller två små drinkar i veckan.

Läs också hur mycket alkohol påverkar din träning

7. Välj rätt fett

Var inte rädd för fett i dina måltider. Om du bara håller koll på kalorierna finns det ingen begränsning av fettintaget. Tvärtom bidrar fett till att göra måltiden mer blodsockervänlig. Undersökningar visar att de så kallade MUFA (enkelomättade fettsyror) påverkar kroppen så att den i högre grad förbränner bukfettet.

Detta vill vi gärna utnyttja och därför ska du sträva efter att flera av dagens måltider innehåller en bra MUFA-källa. Försök att få i dig minst 20 gram MUFA varje dag.

Du får enkelomättat fett från:

  • olivolja
  • rapsolja
  • pekannötter
  • hasselnötter
  • mandlar och cashewnötter
  • oliver
  • jordnötter och paranötter
  • avokado

Bra och dåliga fetter – läs mer om skillnaden här.